Regeneración Ósea en Odontología 29 enero, 2024 Una de las patologías bucales más comunes entre nuestra población, es el flemón dental. Conoce más información sobre ello.
Estudio de la Edad Ósea 10 enero, 2024 Gracias a la realización de una radiografía de la mano izquierda, podremos realizar un estudio de la edad ósea de un paciente.
7 Propósitos Dentales Para Año Nuevo 11 diciembre, 2023 Para poder lucir tu mejor sonrisa deberás establecer los siguientes 7 propósitos dentales para año nuevo. ¡Sonríe!
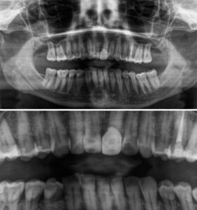
Extracción de las Muelas del Juicio 23 noviembre, 2023 La extracción de las muelas del juicio suele ser una de las operaciones más habituales que se realizan en una clínica dental.
Centro de Radiología en Carabanchel 6 noviembre, 2023 Nuestra clínica dispone de la aparatología necesaria para ser tu centro de referencia de radiología en Carabanchel.
Pasta de Dientes Morada 23 octubre, 2023 Mucha gente habla sobre la famosa pasta de dientes morada para la corrección del color dental. Conoce todo lo que debes saber haciendo clic.