Calle de Salvador Allende, 7 28054 Madrid

Autobús 35, 135, 118, E1 Metro: La Peseta (linea 11)

Centro de Radiología en Carabanchel

Nuestra clínica dispone de aparatología para realizar radiografías de todos los tipos digitales que existen actualmente en el mercado: Ortopantomografía, telerradiografía, CBCT, intraoral, periapicales y aletas de mordida y CARPO.

Somos tu Centro Radiología en Carabanchel.

Ortopantomografía

Radiografía Panorámica

La radiografía panorámica u ortopantomografía es una radiografía extraoral donde aparecen ambos maxilares y los dientes. Se trata de una imagen que nos ofrece una visión global de la cavidad bucal y estructuras adyacentes.

La radiografía panorámica es una herramienta fundamental para el estudio previo a cualquier tratamiento en odontología siendo su uso muy habitual en la valoración inicial del paciente o tratamientos como la cirugía bucal o la ortodoncia.

La ortopantomografía es una prueba radiológica muy confortable para el paciente, ya que el nivel de radiación recibido es mínimo, además de ser indoloro y rápido.

Durante la prueba, el paciente ha de colocarse de pie frente al aparato mordiendo una pequeña pieza, manteniendo las dos arcadas de la boca separadas y con la cabeza erguida.

En apenas unos segundos la imagen obtenida aparece en la pantalla y el odontólogo puede analizar la prueba con detalle.

En nuestra Clínica Dental en Carabanchel contamos con tecnología digital de última generación que permite realizar ortopantomografías precisas con la menor radiación para el paciente.

Las pruebas radiológicas se entregan digitalmente si así lo solicita el paciente u otro profesional en nuestro centro de radiología en carabanchel.

radiografía bucal extraoral clinica carabanchel
Centro Radiología Carabanchel

Telerradiografía

Radiografía Extrabucal Frontal o Lateral

La telerradiografía es una radiografía extrabucal (frontal o lateral) que se realiza a una distancia mayor de la habitual para evitar que la imagen se vea distorsionada por las estructuras del cráneo.

En odontología se emplean fundamentalmente las telerradiografías laterales de cráneo. En ellas podemos ver con nitidez los huesos de la cara y los dientes del paciente. Forman parte de los estudios de ortodoncia ya que en ellas medimos los ángulos y proporciones de los huesos de la cara del paciente y de este modo podemos conocer la relación entre sus estructuras faciales mediante el análisis cefalométrico.

Gracias a la última tecnología digital podemos realizar estudios radiológicos precisos rápidamente en nuestra Clínica Dental en Carabanchel.

Escáner CBCT

Tomografía Computerizada de Haz Cónico

El escáner CBCT 3D o Tomografía Computerizada de Haz Cónico nos permite hoy en día obtener una imagen tridimensional (3D) sumamente precisa de los dientes, los tejidos blandos y los huesos de la cavidad bucal y zonas adyacentes del paciente.

En nuestra Clínica Dental en Carabanchel esta prueba radiológica se realiza de pie en una máquina abierta que reduce la sensación de claustrofobia.

Mediante una única rotación de 360º y en menos de 30 segundos (con una dosis de radiación mucho menos que un TAC helicoidal convencional) obtenemos una serie de imágenes que nos permiten estudiar con todo detalle la cavidad bucal del paciente.

Actualmente se usa tanto para procedimientos de implantología dental o cirugía bucal como para endodoncia, ortodoncia, periodoncia.

radiografía bucal escaner cbct clinica dental tomas
centro radiológico carabanchel
centro radiológico carabanchel

Escáner intraoral

Comodidad para el paciente y precisión

Un escáner intraoral es un sistema digital que sustituye de alguna manera o complementa las impresiones tradicionales en odontología.

Mediante un captador intraoral de pequeño tamaño y fácil manejo; de una manera rápida y precisa, se obtienen imágenes de la boca del paciente que nos permiten reconstruir tridimensionalmente la misma en una pantalla táctil donde podremos analizar con detalle el modelo digital. Posteriormente podemos diseñar, imprimir digitalmente o fresar estructuras que nos permiten ofrecer mayor precisión en el ajuste.

En implantología dental tiene muchas aplicaciones ya que nos facilita junto con el escáner CBCT la creación de férulas quirúrgicas que nos ayuden al posicionamiento de los tratamientos de implantes previamente planificados digitalmente mediante un potente software.

Así mismo, en la elaboración de la prótesis sobre implantes supone un salto tanto en calidad como en rapidez de los tratamientos, ya que la conexión y envío de los trabajos se realiza a través de plataformas digitales de manera casi instantánea.

En ortodoncia nos permite tanto realizar un estudio previo como realizar posteriores modificaciones digitales del mismo hasta el resultado final, lo que facilita poder explicar al paciente tanto cual va a ser el resultado de su tratamiento como los movimientos que van a ser necesarios para conseguirlo. De este modo tenemos tratamientos muchos más precisos y movimientos más controlados.

La conexión instantánea a la nube de los principales sistemas de alineadores y de ortodoncia invisible, facilita el envío de la información en menos de 1 hora con la agilidad que ello supone.

El escáner intraoral es una de las herramientas más útiles en el día a día de una clínica, ya que nos permite la captación de imágenes para modelos de estudio y planificación de tratamientos de odontología estética, odontología restauradora, prótesis, férulas, …

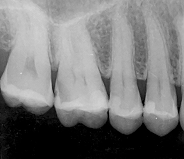
Radiografías periapicales y aletas de mordida

Mínima radiación para el estudio de dientes y hueso adyacente

Se trata de radiografías intraorales que con una mínima radiación aportan un gran detalle de los dientes y hueso adyacentes.

Normalmente se realizan para diagnosticar con precisión caries, enfermedad periodontal o fracturas de dientes, entre otras patologías.

Gracias a la tecnología digital, estas imágenes se procesan en cuestión de segundos y aportan mucha más nitidez y precisión que las convencionales.

centro radiológico carabanchel
centro radiológico carabanchel

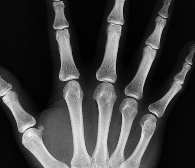
CARPO

Estudio específico para determinar la edad ósea

Durante el tratamiento ortodóncico de las maloclusiones es fundamental la evaluación del crecimiento óseo del paciente dado que la mayoría está en edad de desarrollo.

La edad cronológica no siempre coincide con la madurez ósea, por lo que en ocasiones el ortodoncista solicita un estudio específico para analizar en que etapa se encuentran los huesos del paciente y conseguir que el tratamiento de ortodoncia modifique el crecimiento en función de ello.

El método más extendido para determinar la edad ósea de un paciente es a través de una radiografía de la mano izquierda, incluyendo la muñeca. Los parámetros que ofrece son considerados universalmente como un auténtico reloj biológico.

En nuestro Clínica Dental en Carabanchel contamos con la última tecnología digital en Radiología Dental de última generación, lo que nos permite obtener imágenes sumamente precisas con la menor radiación para el paciente.

Pide Cita | Centro de Radiología en Carabanchel

Clínica Dental Carabanchel | Dr. Tomás Hernán
Resumen de privacidad

Esta web utiliza cookies para que podamos ofrecerte la mejor experiencia de usuario posible. La información de las cookies se almacena en tu navegador y realiza funciones tales como reconocerte cuando vuelves a nuestra web o ayudar a nuestro equipo a comprender qué secciones de la web encuentras más interesantes y útiles.