Ejemplos detallados de Casos Clínicos de Periodoncia en Madrid, que llevamos a cabo en nuestra clínica y del resultado final que obtenemos.
En esta sección vamos a ir publicando algunos de los casos clínicos de Periodoncia Madrid, tratamientos realizados en nuestra clínica dental por el Dr. Luis Zamalloa, pudiendo de esta forma ver algunos resultados, experiencias y mejoras que ya han disfrutado nuestros pacientes. Tu salud bucodental es importante para nosotros y, por eso, te proporcionamos atención odontológica de calidad, profesional y cercana.
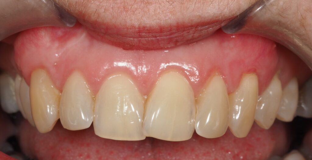
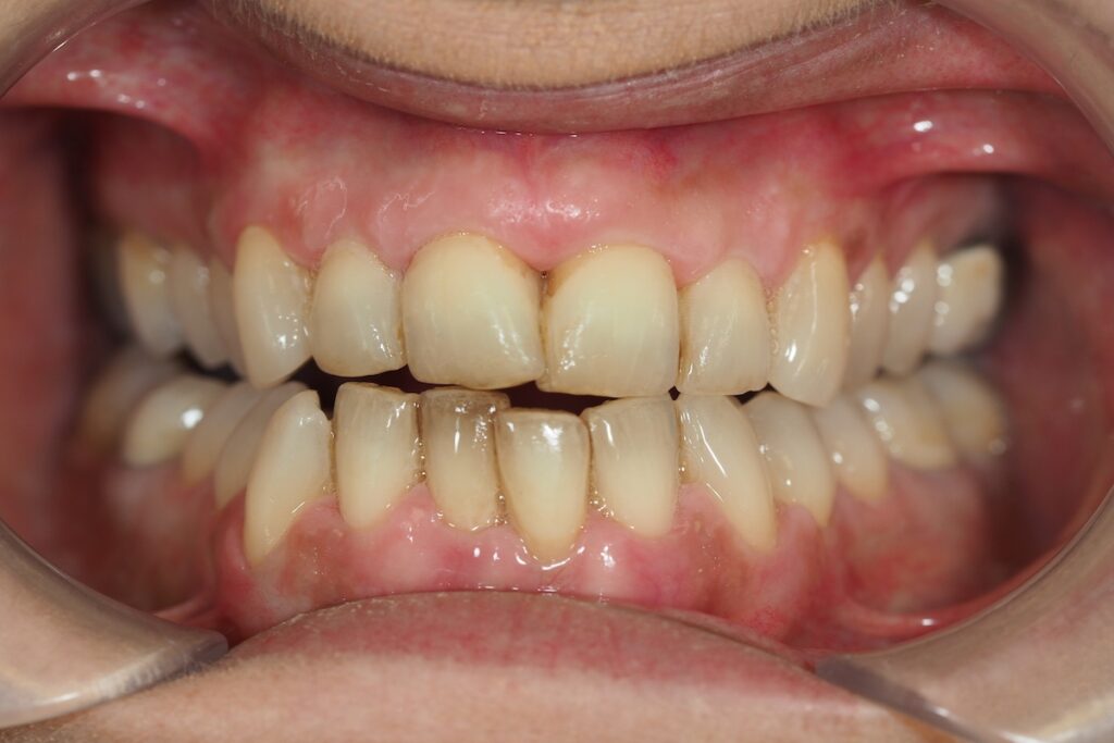
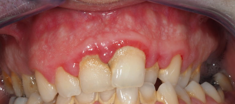
Tratamiento Gingivitis
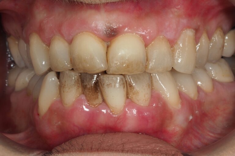
La placa puede causar la enfermedad gingival. Es una película de bacterias que continuamente se acumula alrededor, por todo el diente y entre una pieza dental y otra.
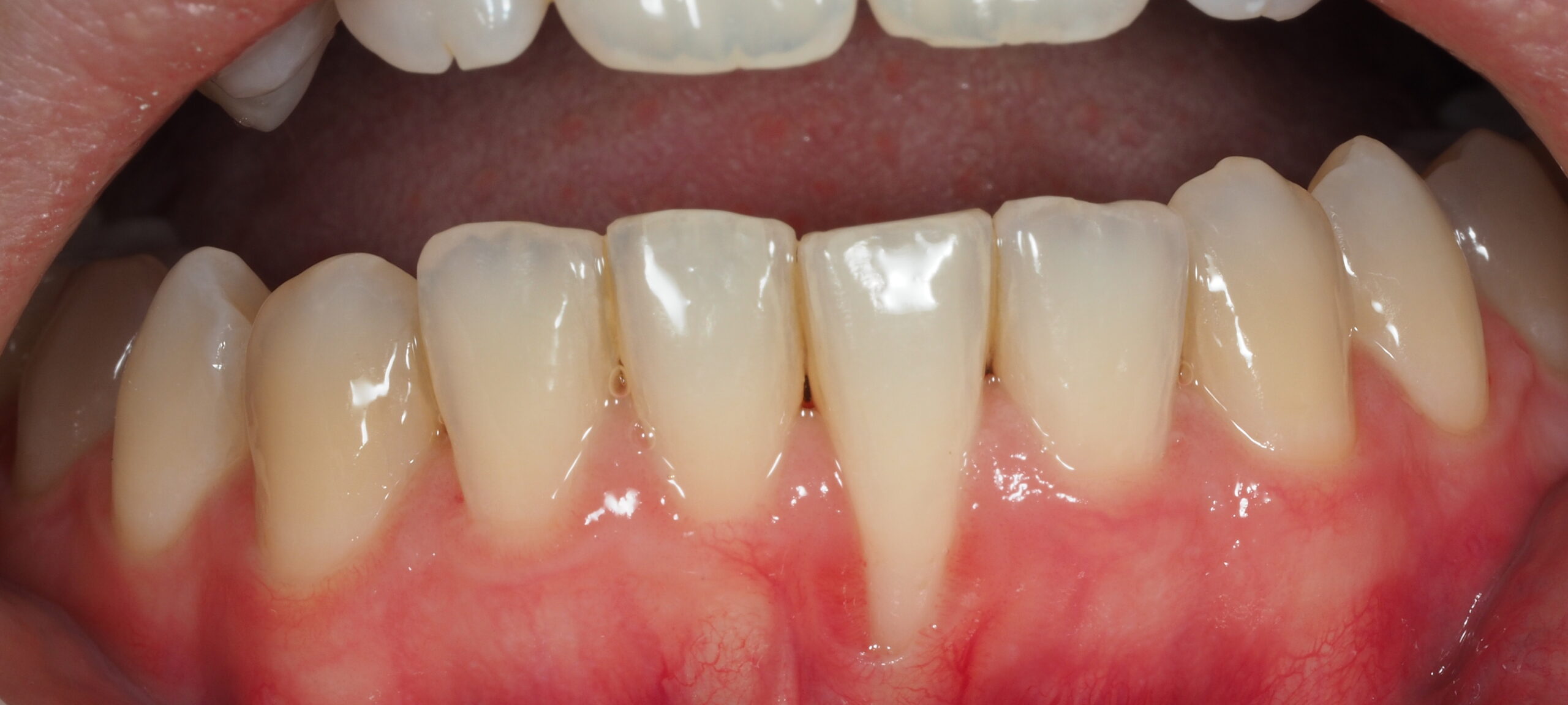
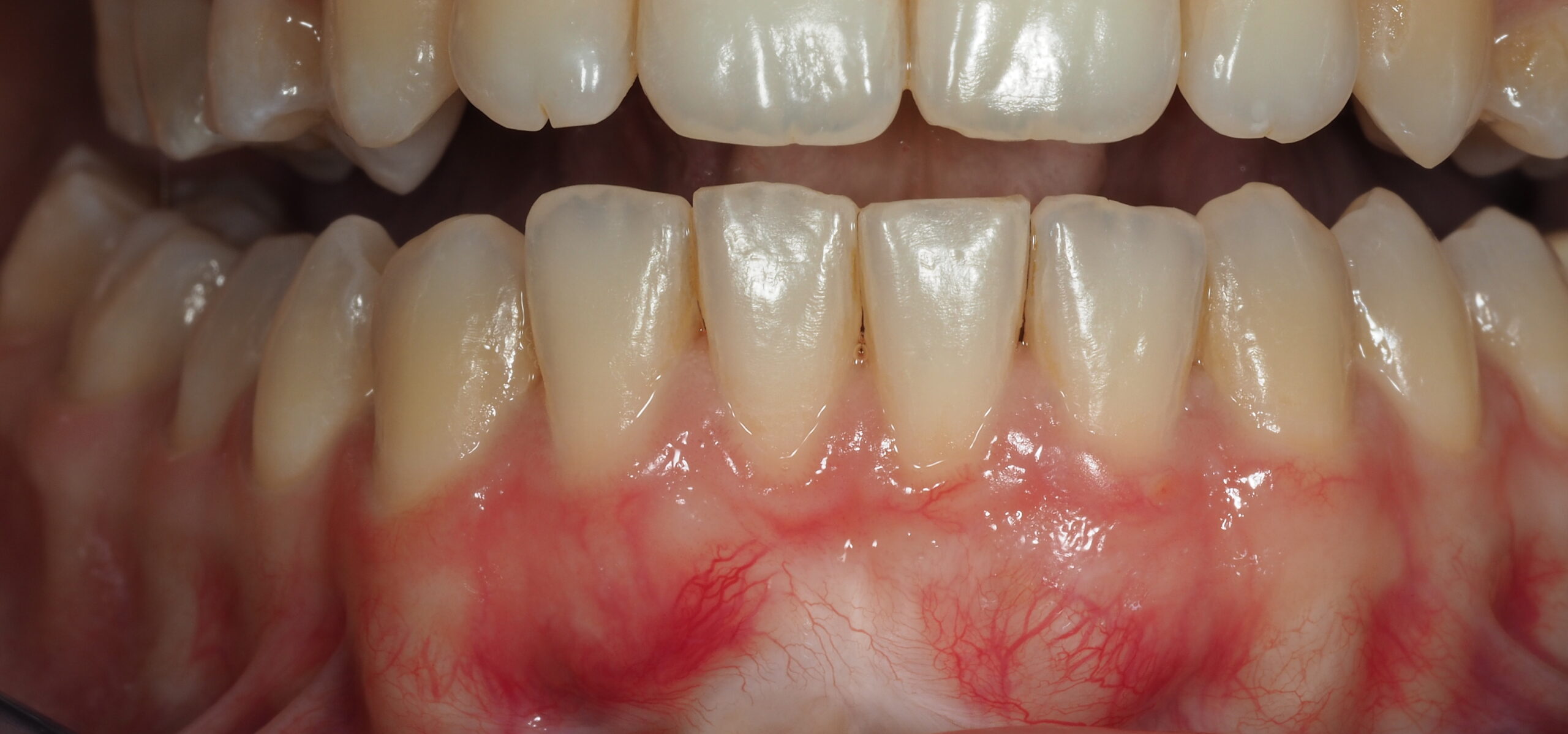
La recesión gingival es un proceso en el que las encías se retraen, dejando al descubierto la raíz del diente y otras partes que anteriormente se encontraban ocultas bajo el tejido.
Los fumadores tienen mayores niveles de bacterias patógenas en el periodonto y presentan una disminución de las defensas de la encía frente al ataque bacteriano, lo que se asocia con un importante aumento en la susceptibilidad a sufrir una infección periodontal.
Una patología de origen multicausal que va más allá de los obvios inconvenientes estéticos –una sonrisa cadavérica de dientes alargados– porque padecerla incrementa la sensibilidad dental, haciendo que resulte casi imposible ingerir o beber ingredientes muy fríos o especialmente calientes.